갑자기 통증이 있는 이빨을 과감히 발치
2025-09-02 84
강남 치과
Sunny LEE
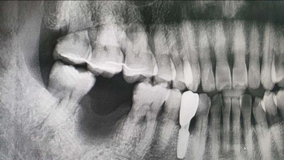
텅빈 우측 아래 어금니의 윗 이빨이 짬짬히 통증이 다가 온다.
강남 치과로 달려가 옛 이빨 사진을 보니 상태가 그때 부터 좋지 않고 이빨 자체도 흔들림이 있다.
공연히 여행중에 또 큰 고통으로 다가 올 것 같아 발치하기로 결정하고 뽑아 보았다.
이빨 빠진 곳에서 썩어 가는 부위가 한가득 나왔다. 이빨도 우쩨 뿌리가 3가닥이나 되는지..
• Source : 1756825898


.jpg)
.jpg)
.jpg)
.jpg)









